ACCUEIL
ACCES
EQUIPE
URGENCES
TRAITEMENTS
ALIGNEURS INVISIBLES
FICHES CONSEILS
VIDEOS 3D
DOCTOLIB
15 Boulevard Aristide Briand, 93330 Neuilly sur Marne
+33 1 43 81 29 24
ACCUEIL
ACCES
EQUIPE
URGENCES
TRAITEMENTS
ALIGNEURS INVISIBLES
FICHES CONSEILS
VIDEOS 3D
DOCTOLIB
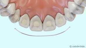
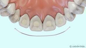
Fil de contention
Vidéos 3D
Partager
Twitter
Partager
Partager
Envoyer
Copier
Cabinet du Dr Ioana Voican
15 Boulevard Aristide Briand
93330
Neuilly sur Marne
+33 1 43 81 29 24
Politique de confidentialité et charte cookie
Mentions légales
Conditions Générales Utilisation
Charte déontologique
Ordre national
Annuaires chirurgiens dentistes
LES APPAREILS ORTHODONTIQUES AUTOLIGATURANTS
LES SEPT FAMILLES D'APPAREILLAGES ORTHODONTIQUES
À QUEL ÂGE CONSULTER UN ORTHODONTISTE ?
INTÉRÊTS D'UN TRAITEMENT ORTHODONTIQUE
Création par
Connexion